What is DWM?:

Dandy-Walker malformation (DWM) is a congenital brain abnormality arising from improper embryonic development of the cerebellum and 4th ventricle, characterized by an underdeveloped cerebellar vermis, a cystic, enlarged 4th ventricle, and an enlarged posterior fossa. These structural changes frequently lead to hydrocephalus, a buildup of cerebrospinal fluid that increases intracranial pressure and causes head swelling, which can result in significant neurological impairment.
Symptoms:

DWM is characterized by developmental delays, hypotonia or spasticity, ataxia, and potential hydrocephalus, with seizures occurring in 15-30% of cases and potential respiratory issues. While often grouped into the “Dandy-Walker complex” along with cerebellar vermis hypoplasia (CVH) and mega-cisterna magna (MCM), these conditions possess distinct features, such as CVH’s small vermis and MCM’s enlarged posterior fossa, suggesting that the spectrum classification may oversimplify prognosis and genetic risks. Due to variations in severity, associated brainstem involvement, and potential co-occurring birth defects, outcomes vary significantly, with CVH often having a more severe prognosis than typical DWM, while MCM may present with milder developmental disabilities.
Causes:

DWM results from developmental defects in the early embryogenesis of the cerebellum and surrounding structures, characterized by a small or absent cerebellar vermis, an enlarged fourth ventricle, and an enlarged posterior fossa. While usually sporadic with a low recurrence risk in siblings, some cases arise from chromosome abnormalities, including deletions of chromosome 3q24.3, 6p25, 13q32.2-q33.2, or duplication of 9p, along with complex genetic and potential environmental factors, like teratogens. A small number of reported cases involving affected siblings suggest rare autosomal recessive or X-linked inheritance, which carries a higher recurrence risk of up to 25%, though many of these are suspected to be CVH rather than classic DWM.
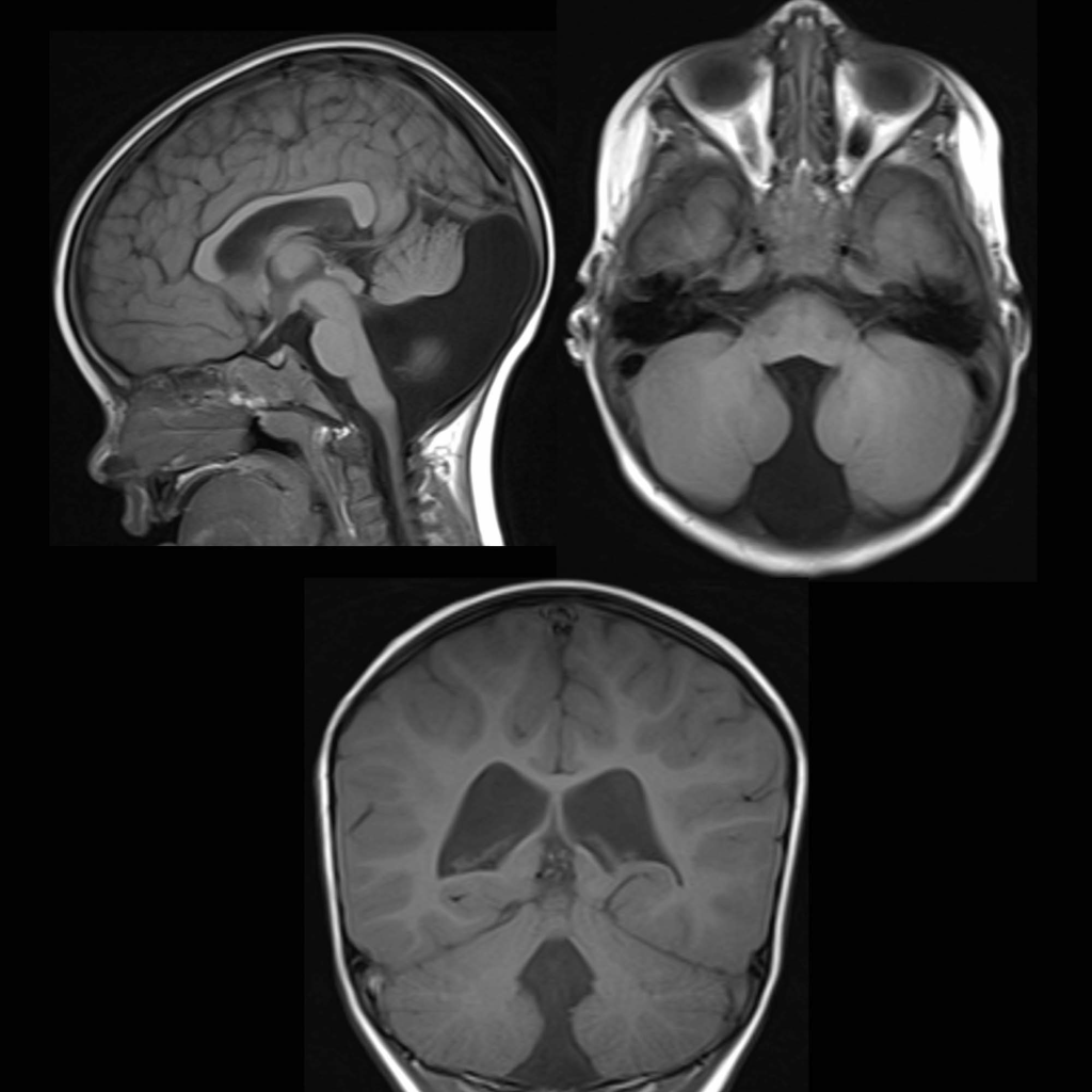
Diagnosis:

Dandy-Walker malformation is diagnosed through imaging techniques, primarily ultrasound, CT scans, and MRI.
Treatment:

DWM is a congenital brain abnormality often associated with hydrocephalus, which is treated by surgically inserting a shunt to drain excess cerebrospinal fluid from the brain to other parts of the body for absorption. Management typically requires a multidisciplinary team approach to address developmental, physical, and educational needs.
How You Can Make an Impact:
Without proper research, funding, and support for continued studies and clinical trials to determine possible cures, legitimate medicines for the disease, or preventative treatment, many more people will go on to develop DWM. If you can, please donate here! If you are unable to donate, consider volunteering your time by raising awareness for this rare disease. If you’re interested in learning more about DWM, donation opportunities, or the progress being made on potential treatments, visit the Dandy-Walker Alliance. The Dandy-Walker Alliance “is dedicated to serving and supporting everyone affected by Dandy-Walker. Use the menu below to learn more about our work.”
References:
Dobyns, W. B. (2008, February 12). Dandy Walker Malformation – Symptoms, Causes, Treatment | NORD. NORD (National Organization for Rare Disorders); NORD. https://rarediseases.org/rare-diseases/dandy-walker-malformation/
Leave a comment