What is Metachromatic Leukodystrophy?:

Metachromatic leukodystrophy (MLD) is a rare, inherited lysosomal storage disorder caused by ARSA or PSAP gene mutations that lead to toxic accumulation of sulfatides. This accumulation destroys the myelin sheath in the central and peripheral nervous systems, resulting in progressive cognitive and motor decline. Appearing in late-infantile, juvenile, or adult forms, MLD causes severe symptoms like speech loss, motor dysfunction, and personality changes, with treatment often limited to supportive care or, in specific early cases, gene therapy.
Symptoms:

Metachromatic leukodystrophy (MLD) is a progressive neurodegenerative disease categorized by age of onset, with late-infantile (under 3 years) being the most common, followed by juvenile (4 years to puberty) and adult forms. Late-infantile MLD presents with rapid motor decline, such as walking difficulties, leading to a loss of speech and mobility within months. Juvenile and adult forms progress more slowly, often starting with behavioral issues or cognitive decline over the years, but all types eventually lead to profound disability, including loss of speech, inability to move, and blindness.
Causes:

Metachromatic Leukodystrophy (MLD) is a rare, fatal autosomal recessive genetic disorder caused by mutations in the ARSA gene, or rarely the PSAP gene, leading to a deficiency in the arylsulfatase A enzyme. This enzyme deficiency causes toxic accumulation of fats in the nervous system, kidneys, and testes. This buildup destroys myelin, the protective nerve insulation, causing progressive deterioration of motor and cognitive functions. Affected children typically inherit the mutated gene from both parents, who are asymptomatic carriers.
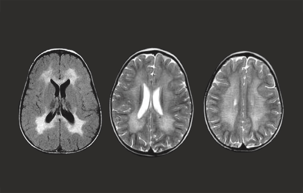
Diagnosis:

Metachromatic Leukodystrophy (MLD) is first suspected through a pattern of progressive impairment that varies by age: the late-infantile form typically begins with gait issues, such as foot drop or toe walking; the juvenile form involves a mix of motor and cognitive decline; and the adult form often manifests as behavioral changes or slurred speech. To confirm a diagnosis, clinicians use a combination of genetic testing for ARSA and PSAP mutations and biochemical testing to measure sulfatase activity and urinary sulfatide excretion. While brain MRIs are essential for identifying the signature pattern of myelin loss and tracking brain injury over time, it is critical to note that early imaging in young children can sometimes appear normal.
Treatment:

Metachromatic leukodystrophy (MLD) treatment is increasingly moving beyond supportive care, which focuses on symptom management for advanced disease, toward early intervention in pre- or minimally symptomatic children. While traditional stem cell transplantation has been used to stabilize neurocognitive function before symptom onset, the FDA approved the gene therapy atidarsagene autotemcel (Lenmeldy) in March 2024 for children with pre-symptomatic late infantile, pre-symptomatic early juvenile, or early symptomatic early juvenile MLD. This one-time treatment has demonstrated the ability to preserve motor and cognitive function by enabling children to produce the missing arylsulfatase A (ARSA) enzyme, underscoring the critical importance of early diagnosis.
How You Can Make an Impact:
Without proper research, funding, and support for continued studies and clinical trials to determine possible cures, legitimate medicines for the disease, or preventative treatment, many more people will go on to develop MLD. If you can, please donate here! If you are unable to donate, consider volunteering your time by raising awareness for this rare disease. If you’re interested in learning more about MLD, donation opportunities, or the progress being made on potential treatments, visit MLD Foundation. The MLD Foundation prides itself on “facilitating compassion, increasing awareness, influencing research, and promoting education.”
References:
Rosenzweig, J., & Adang, L. (2024, March 18). Metachromatic Leukodystrophy – Symptoms, Causes, Treatment | NORD. NORD (National Organization for Rare Disorders); NORD. https://rarediseases.org/rare-diseases/metachromatic-leukodystrophy/
Leave a comment