What is Ewing Sarcoma?:

Ewing sarcoma is an aggressive, rare cancer that primarily affects the long bones of the legs or flat bones in the pelvis and chest wall, but it can also develop in soft tissues. It most commonly occurs in adolescents. It is now recognized as the second most common primary bone tumor in children, representing roughly 2% of all childhood cancer cases.
Modern research has grouped Ewing sarcoma with other conditions, such as primitive neuroectodermal tumors and Askin’s tumors, under the umbrella of the Ewing family of tumors (EFT). This classification exists because these tumors share a specific chromosomal abnormality, a balanced reciprocal translocation, and similar physiological traits. Despite the various names, they are molecularly considered a single disease, with the primary bone tumor accounting for 70% of cases.
Because of its aggressive nature, Ewing sarcoma carries a high risk of metastasizing to the lungs, bone marrow, and other skeletal structures. While the exact cause remains unknown, early detection is vital to managing the potentially life-threatening complications associated with its spread.
Symptoms:

The Ewing family of tumors presents with symptoms that are largely dependent on the tumor’s location. Common indicators include intermittent pain that becomes constant over time, localized swelling, tenderness, and the presence of a palpable mass. Because these tumors can weaken the skeletal structure, affected individuals may experience fractures, while those with spinal involvement might suffer from weakness, numbness, or even paralysis. Systemic symptoms such as fever, fatigue, weight loss, anemia, and an increased white blood cell count can also manifest as the body reacts to the malignancy.
While these tumors can emerge in any bone or soft tissue, they most frequently target the pelvis, the long bones of the legs, particularly the femur, and the flat bones of the chest wall and spine. When the disease arises in the soft tissues, it is typically found in the trunk. Due to its aggressive nature, Ewing sarcoma frequently metastasizes to the lungs and other bones. Such spread can lead to severe secondary complications, such as breathing difficulties or pleural effusion if the respiratory system is compromised.
Causes:

The exact cause of Ewing sarcoma remains unknown and typically occurs sporadically via specific genetic mutations. The hallmark of the disease is a reciprocal translocation, a process where segments of two chromosomes break off and swap places. In approximately 85% of cases, this involves the long arms of chromosomes 11 and 22, leading to the abnormal fusion of the EWS and FLI genes. This genetic “trading” creates a fusion gene that produces an abnormal protein, which researchers believe drives the development of the tumor, though the exact mechanics of this process are still being studied.
While the EWS-FLI1 fusion is most common, the EWS gene can occasionally fuse with other partners, such as the ERG gene. While these tumors generally appear for no clear reason, Ewing sarcoma can emerge in extremely rare instances as a second malignancy (a late-onset complication resulting from previous treatments for an unrelated cancer). Unfortunately, the underlying cell type from which these tumors originate has yet to be identified.
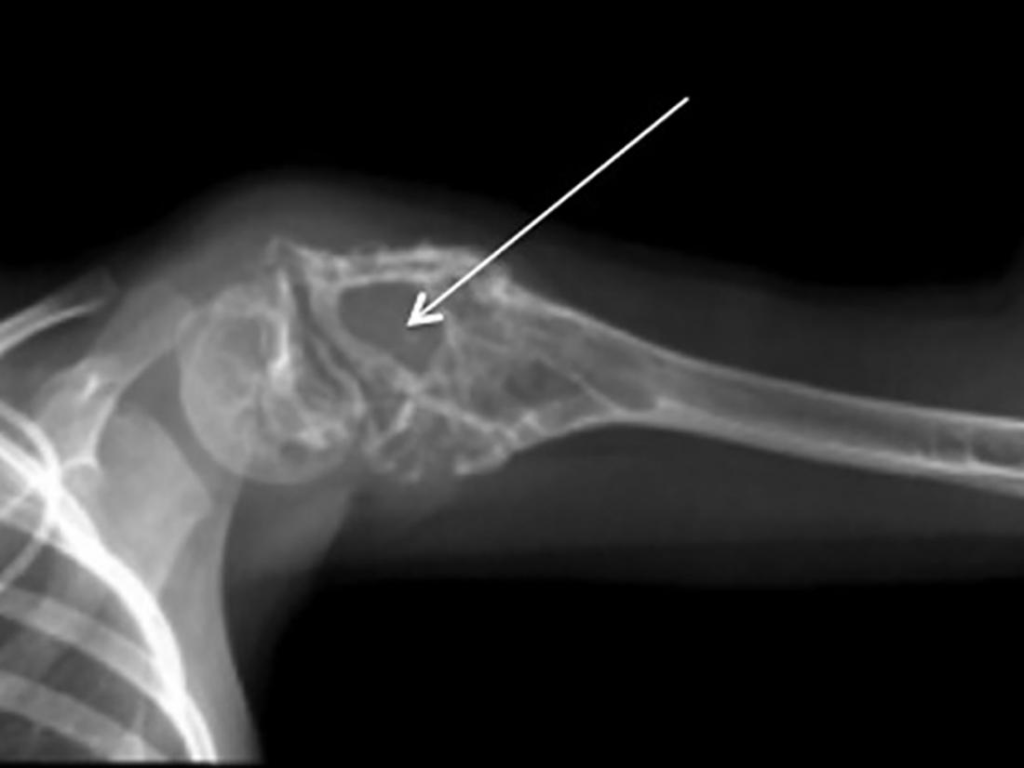
Diagnosis:

Diagnosing a tumor in the Ewing family involves a comprehensive approach that combines clinical evaluation and specialized diagnostic testing. The process often begins with imaging, starting with X-rays to visualize a palpable mass, and then moving onto more advanced techniques like CT scans, MRIs, and bone scans to determine the tumor’s size and check for metastasis to the lungs or other bones. A bone marrow biopsy may also be performed to see if the cancer has reached the marrow.
The definitive diagnosis is established through a surgical biopsy and histopathological evaluation of the affected tissue. Pathologists look for specific markers, such as the CD99 surface protein, which is present in the majority of Ewing family tumors. Additionally, molecular analysis plays a critical role; techniques like polymerase chain reaction allow researchers to amplify DNA sequences to identify the characteristic EWS-FLI1 translocation. These combined methods ensure an accurate identification of the tumor at a molecular level, which is essential for planning effective treatment.
Treatment:

The management of Ewing sarcoma requires a highly coordinated team of specialists, including pediatric or adult oncologists, radiation oncologists, and orthopedic surgeons. Because a diagnosis often brings significant psychological distress to patients and their families, professional counseling and support groups are strongly recommended as an integral part of the care plan. Treatment decisions are highly personalized, taking into account the tumor’s location, stage, and grade, as well as the patient’s overall health and personal preferences.
Standard treatment protocols involve a combination of systemic applications of chemotherapy, surgery, and radiation. Typically, chemotherapy is administered first to target the primary tumor and eliminate hidden metastatic cells throughout the body. Following this, surgery or radiation is used to address the primary site. Because different medications employ distinct mechanisms to destroy or inhibit cancer cells, a “multi-drug” approach is the standard of care. This combination therapy is significantly more effective than surgery or radiation alone, which are often reserved for localized control or inoperable cases.
How You Can Make an Impact:
Without proper research, funding, and support for continued studies and clinical trials to determine possible cures, legitimate medicines for the disease, or preventative treatment, many more people will go on to develop Ewing sarcoma. If you can, please donate here! If you are unable to donate, consider volunteering your time by raising awareness for this rare disease. If you’re interested in learning more about Ewing Sarcoma, donation opportunities, or the progress being made on potential treatments, visit Wings for Ewing Sarcoma. Wings for Ewing Sarcoma is dedicated to “Finding the cure to Ewing Sarcoma and empowering childhood cancer patients.”
Let’s keep spreading awareness! – Lily
References:
Grohar, P. J., & Carell Jr., M. (2013, January 14). Ewing Sarcoma – Symptoms, Causes, Treatment | NORD. NORD (National Organization for Rare Disorders). https://rarediseases.org/rare-diseases/ewing-sarcoma/
Leave a comment